Sign-up for our newsletter
MAIN
Event Calendar
Awardee Reports
ABOUT DIACOMP
Citing DiaComp
Contact
Committees
Institutions
Awardee Reports
Publications
Bioinformatics
RESOURCES
Protocols & Methods
Reagents & Resources
Mouse Diet
Breeding Schemes
Validation Criteria
IMPC / KOMP Data
Publications
Bioinformatics
CONTACT
PARTICIPANT AREA
Login
▹
Histology Images
▹
Home
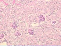
Histology Image
Laboratory
Leiter
Experiment
Baseline Metabolic Phenotyping for DCC Mouse Strains
Caption
Normal appearing kidney in 26-wk-old FVB-+/? female [Consortial]
Strain
FVB.BKS(D)-+/?/ChuaJ
Animal ID
6654F34
Animal Age
26 week(s) post-natal (w)
Anatomical Site
kidney
(External Reference)
External Sample ID
Tissue Collection Date
5/28/2008
Slide Preparation Date
Not Specified
Image Acquisition Date
Not Specified
Staining Protocol
Periodic acid Schiff (PAS)
Available?
Unavailable
Block ID
Not Specified
Block Type
Not Specified
Sectioning Investigator
Not Specified
Magnification Level
200 X
Gross Description
normoglycemic FVB-+? control female; Body weight at 24 wk = 24.6g; plasma
glucose = 178 mg/dl; plasma insulin = 1.5 ng/ml; DEXA = 28.8% fat. ACR spot
urine at 21 wk = 43; ACR 24 hr urine collection at 25 wk = 43.
Microscopic Description
no visible lesions
{1}
##LOC[OK]##
{1}
##LOC[OK]##
##LOC[Cancel]##
{1}
##LOC[OK]##
##LOC[Cancel]##
Welcome to the DiaComp Login / Account Request Page.
Email Address:
Password:
Note: Passwords are case-sensitive.
Please save my Email Address on this machine.
Not a member?
If you are a funded DiaComp investigator, a member of an investigator's lab,
or an External Scientific Panel member to the consortium, please
request an account.
Forgot your password?
Enter your Email Address and
click here.
ERROR!
There was a problem with the page:
User Info
User Confirm
Please acknowledge all posters, manuscripts or scientific materials that were generated in part or whole using funds from the Diabetic Complications Consortium(DiaComp) using the following text:
Financial support for this work provided by the NIDDK Diabetic Complications Consortium (RRID:SCR_001415, www.diacomp.org), grants DK076169 and DK115255
Citation text and image have been copied to your clipboard. You may now paste them into your document. Thank you!