Sign-up for our newsletter
MAIN
Event Calendar
Awardee Reports
ABOUT DIACOMP
Citing DiaComp
Contact
Committees
Institutions
Awardee Reports
Publications
Bioinformatics
RESOURCES
Protocols & Methods
Reagents & Resources
Mouse Diet
Breeding Schemes
Validation Criteria
IMPC / KOMP Data
Publications
Bioinformatics
CONTACT
PARTICIPANT AREA
Login
▹
Histology Images
▹
Home
▹
Exit Individual PI Data
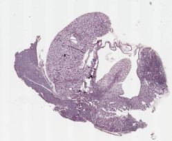
Histology Image
Laboratory
Breyer
Experiment
Differential susceptibility to diabetic nephropathy in inbred mice
Caption
kidney from DBA/2J diabetic for 25 weeks [Breyer]
Strain
DBA/2J
Animal ID
DBA/2J-5-4
Animal Age
32 week(s) post-natal (w)
Anatomical Site
kidney
(External Reference)
External Sample ID
Tissue Collection Date
Not Specified
Slide Preparation Date
Not Specified
Image Acquisition Date
Not Specified
Staining Protocol
H&E Staining
Available?
Unavailable
Block ID
Not Specified
Block Type
Not Specified
Sectioning Investigator
Not Specified
Magnification Level
20 X
Gross Description
Microscopic Description
{1}
##LOC[OK]##
{1}
##LOC[OK]##
##LOC[Cancel]##
{1}
##LOC[OK]##
##LOC[Cancel]##
Welcome to the DiaComp Login / Account Request Page.
Email Address:
Password:
Note: Passwords are case-sensitive.
Please save my Email Address on this machine.
Not a member?
If you are a funded DiaComp investigator, a member of an investigator's lab,
or an External Scientific Panel member to the consortium, please
request an account.
Forgot your password?
Enter your Email Address and
click here.
ERROR!
There was a problem with the page:
User Info
User Confirm
Please acknowledge all posters, manuscripts or scientific materials that were generated in part or whole using funds from the Diabetic Complications Consortium(DiaComp) using the following text:
Financial support for this work provided by the NIDDK Diabetic Complications Consortium (RRID:SCR_001415, www.diacomp.org), grants DK076169 and DK115255
Citation text and image have been copied to your clipboard. You may now paste them into your document. Thank you!